
Pesquisa revela que falta de afeto dos pais pode afetar o desenvolvimento das crianças
Demonstrar amor e afeto pelo seu filho nunca é demais. E uma pesquisa comprova a importância desse afeto no desenvolvimento da criança em diferentes etapas da vida.
Falta de afeto:
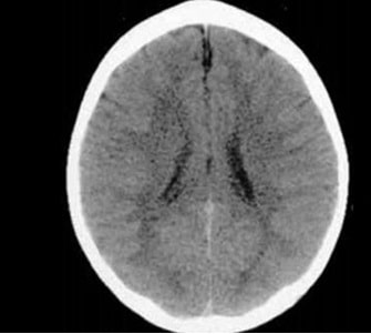
Duas tomografias divulgadas pelo Texas Children’s Hospital, nos Estados Unidos evidenciaram o impacto que o amor dos pais causa na vida dos filhos. Essa primeira imagem é de uma criança de três anos que sempre ganhou muito carinho e atenção dos pais desde que nasceu:

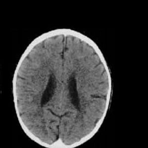
Já essa abaixo é de uma criança da mesma idade, mas que sofreu maus-tratos e que viveu por toda sua vida com uma família abusiva. Dá para perceber que ele é menor e possui algumas partes escuras.

“Estas imagens mostram o impacto negativo que a negligência e os maus-tratos têm no desenvolvimento do cérebro do bebê e criança. Este cérebro da criança que sofreu os maus-tratos é bem menor do que a média esperada para esta idade e tem ventrículos aumentados e atrofia cortical. Essencialmente, isso significa que esse bebê vai sofrer com atrasos no desenvolvimento e problemas de memória”, explicou o professor e psiquiatra Bruce Perry, chefe do setor de psiquiatria do Texas Children’s Hospital, ao Daily Mail.
Bruce contou ainda que as crianças que sofrem negligência em seus primeiros anos de vida têm dificuldades de relacionamento e em estabelecer vínculos. Além disso, podem ser muito estressadas e ter problemas de memória, por exemplo. Por isso, dar amor e atenção para os pequenos nunca é demais. Não se esqueça disso!
Foto: Reprodução/ Texas Children’s Hospital
Fonte: Bol Notícias
