Médico olha na boca de criança de 3 anos e briga com a mãe por ela dar ISSO para seu filho beber
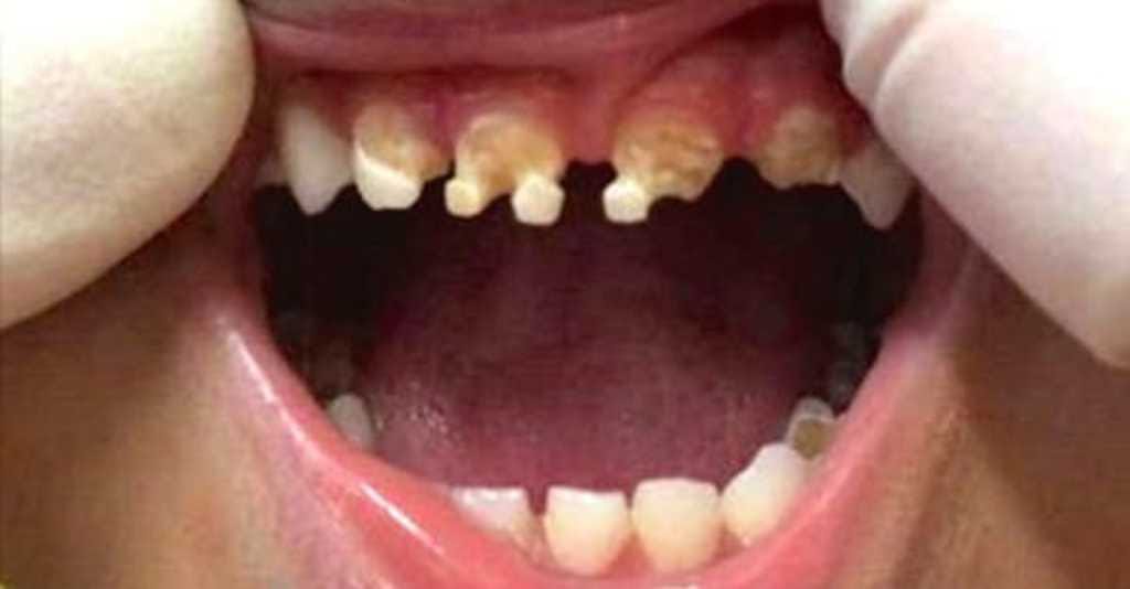
Os males do refrigerante sempre foram abordados e é um assunto que merece muita atenção. Recentemente, um estudo publicado no American Journal of Public Health, alerta que beber refrigerantes ricos em açúcar diariamente, acelera o envelhecimento tanto quanto fumar. Além disso, outros casos de danos na saúde humana estão chamando atenção pelo mundo inteiro. Em apenas um ano, o Dr. Robert Beaglehole extraiu cerca de 60 dentes de crianças diferentes. Além dele, a Associação Dental da Nova Zelândia, sugere que o país beba mais leite e água e deixe os refrigerantes de lado.

De acordo com a Vermont Odontologia, açúcar, refrigerantes e lanches carregados de gordura, estão disponíveis para o consumo em todos os lugares onde crianças se reúnem. Escolas permitem a presença desses doces, seja por máquinas automáticas ou a venda avulsa dos mesmos, tornando a prática de consumo de açúcar comum no ambiente escolar. “Muitas casas de classe média alta mantêm um suprimento alto em seus refrigeradores e armários para satisfazer as vontades dos filhos, sem saber que estão prejudicando diretamente sua saúde”, afirma a associação.

Na região sul de Nova York que se estende até o Alabama, refrigerantes de várias marcas mostram que altos índices de queda de dentes são notáveis nessa região. De acordo com a imprensa norte americana, as crianças estão viciadas em refrigerantes e bebem diariamente, desde o café da manhã, durante os jogos de futebol e no jantar. Dentistas afirmam que já viram casos de famílias que colocam refrigerante dentro de mamadeiras.

Especialistas alertam a importância de ensinar a escovação diária e uso do fio dental, além de visitas regulares ao dentista. Só porque um alimento ou bebida é rotulada como “sem açúcar” não significa que ele seja bom para os dentes e que a manutenção básica da saúde bucal precise ser dispensada.
Fonte1: Extra Globo
Fonte2: Little Things
