
Cão é baleado durante tiroteio no Rio. E médicos só tiveram uma opção ao verem sua pata
Uma cena que infelizmente ataca o Rio de Janeiro com frequência são certos tiroteios. Mas dessa vez, um deles acabou ferindo um pobre cachorrinho chamado Bruno que foi baleado.
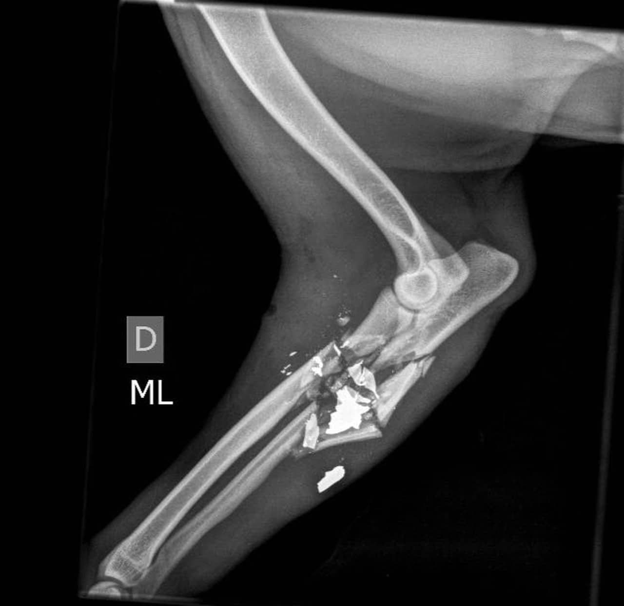
Ele acabou sendo atingido por uma bala perdida durante um confronto na Barreira do Vasco, na Zona Norte do Rio. Infelizmente, isso lhe custou sua pata dianteira, a qual foi amputada.
Os veterinários Luiz Eduardo Castro e André Carneiro, da Sociedade União Internacional Protetora dos Animais (Suipa) chegaram a fazer uma cirurgia de reconstrução, mas infelizmente não houve sucesso. Pelo menos, Bruno passa bem, segundo revelou um dos veterinários sobre o caso.


Parece que a violência no Rio não vai acabar nunca, certo?! Poderia ter sido mil vezes pior a situação do pobre cachorrinho.
Fotos: Divulgação/Suipa.
Fonte: G1.
