Para os amantes da carne de porco, cientistas britânicos têm um sério alerta a fazer. Um homem teve vermes encontrados em seu cérebro após a ingestão do alimento. E de acordo com os médicos, as bactérias encontradas pode fazer o seu caminho também nos olhos e nos tecidos do corpo.
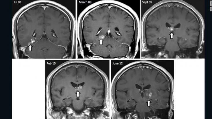
A médica grega Dra. Effrosyni Gkrania-Klotsas relembra um caso envolvendo um homem em 2013. Após uma viagem pela China, o paciente foi diagnosticado com o parasita Spirometra erinaceieuropaei. “Ele se mudou de um lado do cérebro para o outro. E poucas coisas se movem no cérebro”, comentou a doutora.
A presença do verme fazia com que ele sofresse com dores de cabeça agudas, fraquezas musculares e até mesmo com convulsões. E a infecção foi contraída após o consumo de carne de porco no país, de acordo com o especialistas que o examinaram.

Ação parasitária
A infecção nos humanos pode ocorrer de duas maneiras. A primeira consiste em ingerir a carne do animal sem que ela seja adequadamente cozida. Isso faz com que surjam vermes adultos no intestino humano, como a teníase.
A outra fonte de contaminação se dá pelo contato com as fezes do porco contaminado. E a partir do momento que o parasita adentra o nosso organismo, podemos ter uma condição chamada neurocisticercose. Dentro do cérebro, ela pode causar epilepsia.
Os casos de infecção na grande maioria dos casos estão voltados à questão da higiene. Isso torna qualquer pessoa suscetível à contaminação.

As infecções em pessoas por consequência dos porcos não são tão incomuns. Portanto, preste muita atenção antes de consumir sua carne e procure sempre saber de onde ela vem. Não confie em qualquer marca ou produto. Embora a maioria dos casos possa ser tratado com medicamentos, a gravidade pode variar.
Fonte: Explicandoo












